Molecular Genetics

Nucleic Acid Extraction
Nucleic Acid Extraction

Nucleic acid extraction and purification is a fundamental process in Molecu...

View Details
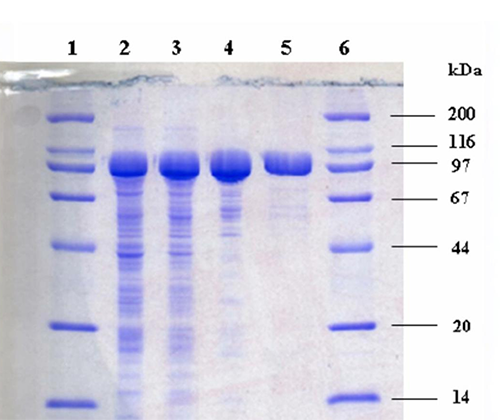
Polyacrylamide Gel Electrophoresis (PAGE)
Polyacrylamide Gel Electrophoresis (PAGE)

Polyacrylamide gel electrophoresis (PAGE) is a widely used technique for se...

View Details
Recombinant Protein Production
Recombinant Protein Production

The Biotechnological process of generating a specific protein. It is typically a...

View Details
Reverse Transcription PCR (RT-PCR)
Reverse Transcription PCR (RT-PCR)

Description:RT-PCR follows the same procedure preceded by a reverse transcriptio...

View Details
UV-Vis spectrophotometry (Nanodrop)
UV-Vis spectrophotometry (Nanodrop)

Description:A technique for measuring the absorbance of a nucleic acid samples d...

View Details
Agarose Gel Electrophoresis
Agarose Gel Electrophoresis

Description:is a common laboratory technique that uses a porous gel and an elect...

View Details
DNA cloning (Recombinant plasmid & Transformation)
DNA cloning (Recombinant plasmid & Transformation)

Insertion of target gene(s) into plasmid vectors and propagation in appropriate...

View Details
DNA Sequencing & Genotyping
DNA Sequencing & Genotyping

A laboratory process that determines the precise order of the four chemical buil...

View Details
Polymerase Chain Reaction (PCR)
Polymerase Chain Reaction (PCR)

The polymerase chain reaction (PCR) is a test tube system for DNA replication wh...

View Details